Smile Gallery

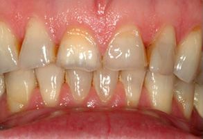
The image shows a person s teeth with yellow stains, some of which appear to be decaying or in need of dental care.

Before

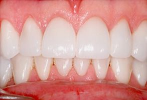
The image features a close-up of an individual s teeth, showcasing a bright and clean smile with a clear view of the upper front teeth.

After

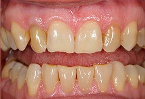
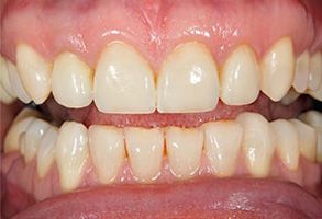
The image shows a close-up of a person s teeth, revealing a significant amount of dental work including crowns and bridges, with the teeth appearing yellowed.

Before

The image shows a close-up of a person s teeth with noticeable staining, particularly on the front teeth.

After

The image is a close-up photograph of a person s face with a focus on the open mouth, revealing straight white teeth and a partial view of the lips.

Before

Image  A close-up of a person s smiling mouth with white teeth, showcasing a full set of dental implants.

After

An up-close image of a person s teeth with noticeable yellowing and discoloration, showcasing a dental condition.

Before

The image displays a close-up of a person s teeth with a focus on the upper front teeth, which appear to be in good condition and are likely part of a dental implant or bridge.

After

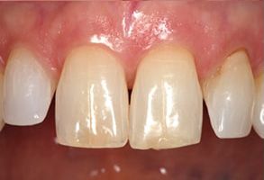
The image shows a close-up of a person s teeth with visible staining and yellowing, indicating the need for dental care or treatment.

Before

The image shows a close-up of a person s teeth with visible stains, likely for the purpose of dental care or cosmetic dentistry promotion.

After

An image of a close-up view of a person s mouth with a focus on their teeth, showcasing a dental treatment or restoration process.

Before

The image shows a close-up of a person s teeth, focusing on the lower front teeth, with a clear view of their gums and upper lip.

After

The image shows a close-up of a person s mouth with a large, yellowish tooth that appears to be decayed or damaged.

Before

The image shows a close-up view of a person s teeth with an emphasis on the lower front teeth, which appear to be in need of repair or replacement due to discoloration and possible decay.

After

Get in Touch

Hours of Operation

Monday
7:30 am - 4:00 pm
Tuesday
7:30 am - 4:00 pm
Wednesday
7:30 am - 4:00 pm
Thursday
7:30 am - 4:00 pm
Friday
7:30 am - 12:00 pm*
Saturday
Closed
*Closed 1st & 3rd Friday of Every Month